Έγκλειστα δόντια παιδιού
Τα έγκλειστα δόντια είναι εκείνα που, για διάφορους λόγους, δεν έχουν αναδυθεί πλήρως από τα ούλα. Αυτό μπορεί να συμβεί όταν το δόντι παραμένει εγκλωβισμένο μέσα στο οστό της γνάθου ή κάτω από τα ούλα. Στα παιδιά, το φαινόμενο αυτό παρατηρείται συχνότερα στους κυνόδοντες και τους τρίτους γομφίους.
Γιατί συμβαίνει η έγκλειση δοντιών;
Υπάρχουν πολλοί παράγοντες που μπορεί να οδηγήσουν σε έγκλειστα δόντια:
- Έλλειψη χώρου: Όταν δεν υπάρχει αρκετός χώρος στη γνάθο για να αναδυθούν όλα τα δόντια.
- Κληρονομικότητα: Γενετικοί παράγοντες μπορεί να επηρεάσουν την ανάπτυξη των δοντιών.
- Ανατομικά εμπόδια: Παρουσία κύστεων ή άλλων εμποδίων στη γνάθο.
- Πρώιμη απώλεια νεογιλών δοντιών: Αν τα νεογιλά δόντια πέσουν νωρίς, τα γειτονικά δόντια μπορεί να μετακινηθούν και να κλείσουν το χώρο.
Πώς να αναγνωρίσετε νωρίς τα έγκλειστα δόντια
Η έγκαιρη αναγνώριση είναι κρίσιμη για την αποφυγή επιπλοκών. Ορισμένα σημάδια που πρέπει να προσέξετε:
- Καθυστερημένη εμφάνιση δοντιών: Αν το παιδί σας δεν έχει εμφανίσει συγκεκριμένα δόντια στην αναμενόμενη ηλικία.
- Πρήξιμο ή ευαισθησία: Στην περιοχή όπου θα έπρεπε να βρίσκεται το δόντι.
- Παραμονή νεογιλών δοντιών: Νεογιλά δόντια που δεν πέφτουν στην ώρα τους.
- Ανωμαλίες στην ευθυγράμμιση των δοντιών: Στρέβλωση ή συνωστισμός.
Νεογιλά δόντια που δεν πέφτουν
Ένα συχνό ερώτημα είναι: “Τι γίνεται όταν τα νεογιλά δόντια δεν πέφτουν;”
Όταν τα νεογιλά δόντια παραμένουν πέρα από την κανονική ηλικία, μπορεί να εμποδίσουν την ανατολή των μόνιμων δοντιών, οδηγώντας σε έγκλειση.
Η έγκαιρη διάγνωση των έγκλειστων δοντιών μπορεί να προλάβει σοβαρές οδοντικές επιπλοκές στο μέλλον.
Πιθανές επιπλοκές από έγκλειστα δόντια
- Συνωστισμός δοντιών: Μπορεί να προκαλέσει προβλήματα στη μάσηση και την ομιλία.
- Κύστες ή όγκοι: Σπάνια, αλλά πιθανή ανάπτυξη γύρω από το έγκλειστο δόντι.
- Βλάβη στα γειτονικά δόντια: Πίεση που μπορεί να προκαλέσει φθορά ή μετακίνηση.
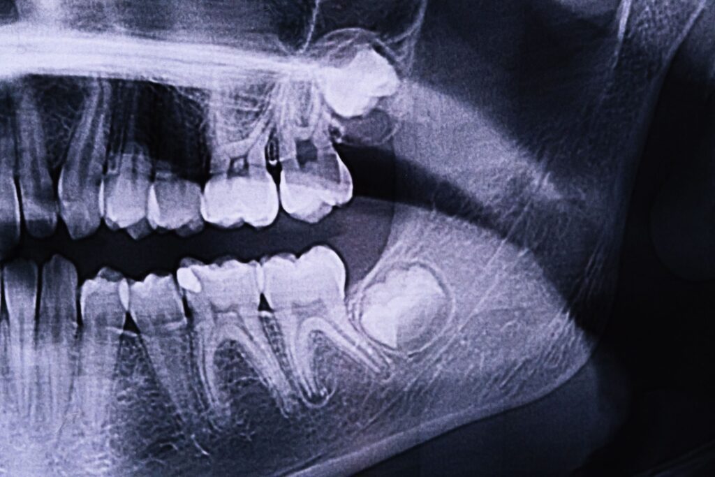
Διαγνωστικές μέθοδοι
Η επίσκεψη στον οδοντίατρο είναι απαραίτητη για τη διάγνωση. Οι μέθοδοι περιλαμβάνουν:
- Κλινική εξέταση: Οπτικός έλεγχος της στοματικής κοιλότητας.
- Ακτινογραφίες: Πανοραμικές ή τρισδιάστατες απεικονίσεις για εντοπισμό του δοντιού.
- Ορθοδοντική αξιολόγηση: Για τον σχεδιασμό πιθανής θεραπείας.
Τα έγκλειστα δόντια δεν είναι πάντα εμφανή, γι’ αυτό οι τακτικοί οδοντιατρικοί έλεγχοι είναι απαραίτητοι για την υγεία του παιδιού.
Θεραπευτικές επιλογές
Εγκλειστος κυνόδοντας: Χρόνος θεραπείας
Ένα από τα συχνότερα ερωτήματα είναι: “Πόσος είναι ο χρόνος θεραπείας για έναν έγκλειστο κυνόδοντα;”Ο χρόνος θεραπείας ποικίλει ανάλογα με την περίπτωση, αλλά συνήθως απαιτείται μια περίοδος 12-24 μηνών.
Οι θεραπευτικές επιλογές περιλαμβάνουν:
- Ορθοδοντική παρέμβαση: Χρήση μηχανισμών για την καθοδήγηση του δοντιού στη σωστή θέση.
- Χειρουργική αποκάλυψη: Απομάκρυνση των ούλων και του οστού για την αποκάλυψη του δοντιού.
- Εξαγωγή: Σε περιπτώσεις όπου το δόντι δεν μπορεί να σωθεί.
Προσέγγιση με ορθοδοντική και χειρουργική συνεργασία
Συχνά απαιτείται συνεργασία μεταξύ ορθοδοντικού και γναθοχειρουργού για την επίτευξη του βέλτιστου αποτελέσματος.
Πρόληψη και φροντίδα
- Τακτικοί οδοντιατρικοί έλεγχοι: Ξεκινώντας από την ηλικία των 6 ετών.
- Ακτινογραφικός έλεγχος: Για την έγκαιρη ανίχνευση πιθανών προβλημάτων.
- Σωστή στοματική υγιεινή: Βουρτσίζοντας και χρησιμοποιώντας οδοντικό νήμα καθημερινά.
- Ενημέρωση: Εκπαίδευση του παιδιού για τη σημασία της οδοντικής φροντίδας.
Με τη σωστή θεραπεία, τα έγκλειστα δόντια μπορούν να ευθυγραμμιστούν και να λειτουργούν κανονικά, χαρίζοντας ένα υγιές χαμόγελο στο παιδί.
Συμβουλές για γονείς
- Παρατηρήστε το χαμόγελο του παιδιού σας: Αν δείτε κάτι ασυνήθιστο, επικοινωνήστε με τον οδοντίατρο.
- Μην αγνοείτε τα νεογιλά δόντια: Είναι εξίσου σημαντικά με τα μόνιμα.
- Ενθαρρύνετε την καλή στοματική υγιεινή: Δημιουργήστε ένα θετικό παράδειγμα.
Συχνές Ερωτήσεις
Τι είναι τα έγκλειστα δόντια;
Τα έγκλειστα δόντια είναι δόντια που δεν έχουν αναδυθεί πλήρως από τα ούλα ή το οστό της γνάθου.
Πώς μπορώ να ξέρω αν το παιδί μου έχει έγκλειστο δόντι;
Σημάδια περιλαμβάνουν καθυστερημένη εμφάνιση δοντιών, πρήξιμο ή παραμονή νεογιλών δοντιών.
Πόσο διαρκεί η θεραπεία για έναν έγκλειστο κυνόδοντα;
Ο χρόνος θεραπείας μπορεί να κυμαίνεται από 12 έως 24 μήνες, ανάλογα με την περίπτωση.
Είναι απαραίτητη η χειρουργική επέμβαση;
Σε ορισμένες περιπτώσεις, ναι. Ο οδοντίατρος θα αξιολογήσει και θα προτείνει την καλύτερη θεραπεία.
Μπορεί να προληφθεί η έγκλειση δοντιών;
Η έγκαιρη διάγνωση και τακτικοί έλεγχοι μπορούν να βοηθήσουν στην πρόληψη ή την αντιμετώπιση του προβλήματος.
Συμπέρασμα
Η έγκλειση δοντιών στα παιδιά είναι ένα ζήτημα που απαιτεί προσοχή και έγκαιρη αντιμετώπιση. Με τακτικούς ελέγχους και σωστή φροντίδα, μπορείτε να διασφαλίσετε ένα υγιές και λαμπερό χαμόγελο για το παιδί σας.
Προστατέψτε το χαμόγελο του παιδιού σας! Εάν έχετε ανησυχίες, επικοινωνήστε με έναν εξειδικευμένο οδοντίατρο σήμερα.
Σημείωση: Το παρόν άρθρο έχει ενημερωτικό σκοπό και δεν αντικαθιστά την επαγγελματική ιατρική συμβουλή.

